Mikroskop DO Genetic PRO Trino 40-1000x + akumulator (Delta Optical; SKU: DO-3407) trzyokularowe opinie


Polski English  
Telefony (pn - pt: 10 - 17, sb: 9 - 13)     Warszawa : 22 374 3140,   501 419 827
Polski English
mikroskopmikroskopy
   Szukaj    
 
   Koszyk więcej    
0 przedmiotów
   Kategorie    
Teleskopy »
 
Lornetki »
 
Lunety »
 
Mikroskopy »
 
 biologiczne »
 
 mikroskopy Svbony »
 
 szkolne »
 
 elektroniczne »
 
 jednookularowe »
 
 dwuokularowe »
 
 trzyokularowe »
 
 laboratoryjne »
 
 techniczne »
 
 mikroskopy TPL »
 
 mikroskopy Bresser »
 
 mikroskopy Delta Optical »
 
 mikroskopy Levenhuk »
 
 mikroskopy Magus »
 
 kamery mikroskopowe »
 
 preparaty i szkiełka »
 
 okulary i obiektywy »
 
 pozostałe »
 
Astrofotografia »
 
Okulary astronomiczne »
 
Filtry astronomiczne »
 
AstroAkcesoria »
 
Noktowizory »
 
Termowizory »
 
Celowniki »
 
Dalmierze »
 
Latarki »
 
Lupy »
 
Kamery sportowe i drony »
 
Statywy »
 
Czyszczenie optyki »
 
Publikacje »
 
Outdoor i łowiectwo »
 
Gadżety »
 
FotoAkcesoria »
 
Używane - outlet »
 
   Producenci    
   Wysyłka    

 
Wysyłka Pocztex Ekspres 24

• Kurier Pocztex: 10 zł
• Kurier Pocztex + pobranie: 15 zł
 


 
Wysyłka kurierem

• Kurier UPS: 25 zł
• Kurier UPS + pobranie: 30 zł

 
   Sklep w Warszawie    
Mapa dojazdu
 
WARSZAWA, ul. Grochowska 8-B
pn-pt:10 - 17, sb:9-13
   Sklep w Chorzowie    
Mapa dojazdu
 
CHORZÓW, ul. Katowicka 56
pn-pt:10 - 17, sb:9-13
   O firmie    
Kontakt/O firmie
Dostawa i zwroty
Ochrona prywatności
Regulamin
   Waluta    
   Język    
Polski English

Mikroskop DO Genetic PRO Trino 40-1000x + akumulator (Delta Optical; SKU: DO-3407)

 
 
Dostępność: W MAGAZYNIE

Wysyłka w ciągu 24h lub odbiór w Warszawie lub Chorzowie 

dostępne od ręki - oznacza prawdziwą dostępność fizyczną, do odbioru od ręki

Delta Optical
 
ZAMÓW DO PUNKTU ODBIORU:
 
 
2189 zł
cena netto: 1779,67 zł

na raty od: 45 zł
 

Mikroskop DO Genetic PRO Trino 40-1000x + akumulator (Delta Optical; SKU: DO-3407)
Sklep internetowy:
 dostępne od ręki


 
Sklep w Warszawie: 2 szt.
 dostępne od ręki


 
Sklep w Chorzowie: 2 szt.
 dostępne od ręki

Ten produkt dostarczamy bezpłatnie kurierem (za pobraniem i przy wpłacie na konto). Zakupione równocześnie artykuły też wyślemy GRATIS !

 
 
 
 
Nowe, niższe raty (0,4% msc). Sprawdź wartość raty i kup już dziś:

 
Oblicz rate

 

 

DO Genetic Pro to wszechstronny mikroskop biologiczny o powiększeniach standardowo od 40 do 1000x, z możliwością opcjonalnego rozbudowania do 1600x. Posiada rzetelną, achromatyczną optykę i charakteryzuje się solidną konstrukcją mechaniczną.
 
Seria mikroskopów Genetic Pro to także szerokie możliwości rozbudowy o opcjonalne akcesoria, pozwalające na stosowanie różnych technik obserwacyjnych, takich jak obserwacja w ciemnym polu czy kontrast fazowy.
 
Wersja Trino z trzecim torem optycznym pozwala na zamocowanie kamery lub aparatu fotograficznego w dedykowanym miejscu na górze mikroskopu.
 
Dodatkowym atutem tego modelu jest wbudowany w podstawę mikroskopu akumulator pozwalający na pracę w terenie, w warunkach braku dostępu do zasilania sieciowego.

Parametry techniczne mikroskopu

• długość tubusu: 160 mm
• głowica typu Siedentopf, trinokularowa, obracana 360°, pochylenie 30°
• okulary: WF10x /18 mm (2 sztuki)
• zakres regulacji rozstawu okularów: 48 - 75 mm
• miska obiektywowa czterogniazdowa, cofnięta
• obiektywy: achromatyczne DIN 4x, 10x, 40x (amortyzowany), 100x (immersyjny, amortyzowany)
• regulacja ostrości: ruch zgrubny (śruba makrometryczna) i ruch drobny (śruba mikrometryczna, współosiowa)
• czułość i działka elementarna śruba mikro: 0,004 mm, zakres 24 mm
• kondensor: jasnego pola typu Abbego, N.A. 1,2, z przysłoną irysową i gniazdem filtrów
• stolik: mocowanie 1 lub 2 preparatów, wymiary stolika: 142 mm x 132 mm, zakres ruchu X-Y: 75 mm x 40 mm
• oświetlenie: diodowe LED 3 W z regulacją natężenia
• zakres temperatur pracy: 0 - 40°C
• zasilanie: 230 V AC (sieciowe)
posiada wbudowany akumulator do pracy w terenie
• wysokość mikroskopu: około 44,5 cm
• waga: około 4,5 kg

Wyposażenie

• okulary WF 10x / 18 mm, φ oprawy = 23 mm (2 sztuki)
• obiektywy achromatyczne 4x, 10, 40x, 100x (DIN)
• filtr kontrastowy zielony
• olejek imersyjny
• pokrowiec na mikroskop (przeciwkurzowy)

Opcje rozbudowy zestawu (lista polecanych opcjonalnych akcesoriów)

• okulary 16x 23 mm (powiększenie do 1600x)
• obiektyw 60x
• kondensor olejowy do ciemnego pola
• kondensor suchy do ciemnego pola
• zestaw do prostej polaryzacji
• zestaw do kontrastu fazowego
• stolik do analizy polaryzacji
• stolik grzewczy
• oświetlacz halogenowy typu gęsia szyja
• oprogramowanie do obróbki zdjęć Helicon Focus
• szkiełko kalibracyjne 1/100 mm
• szkiełka podstawowe i nakrywkowe
• preparaty gotowe
• olejek imersyjny
• adapter do podłączenia lustrzanki (23 mm / T2)
• kamery mikroskopowe do komputera 1,3, 3 oraz 5 Mpix / USB
• walizka aluminiowa do transportu i przechowywania

Gwarancja

2 lata


 

 
 

 
 

 
 

 
 

 
 

 
 

 
(mocnowanie na filtr podstolikowy, standard φ = 32 mm)
 
 

 
(trzeci tor optyczny pozwala na zamocowanie kamery mikroskopowej lub - po zastosowaniu adaptera - aparatu fotograficznego; kamera nie jest elementem zestawu)
 
 

 
(obiektywy achromatyczne)
 
 

 
(elementy zestawu)

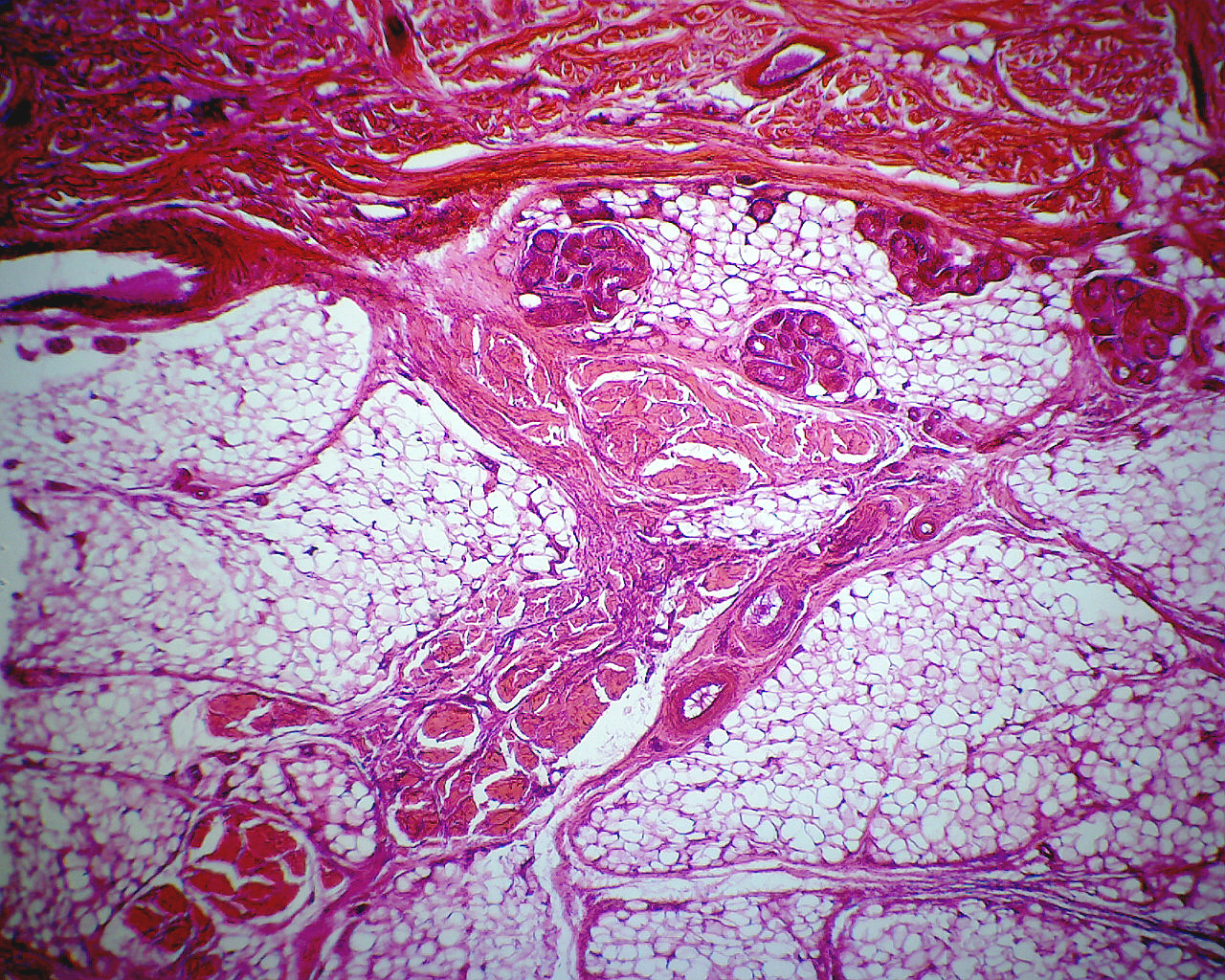
PONIŻEJ Przykładowe zdjęcia przez mikroskop Delta Optical Genetic Pro Bino z wbudowaną kamerą 1,3 Mpix.
Podobne rezultaty można osiągnąć z innymi kamerami mikroskopowymi z dowolnym mikroskopem serii DO Genetic PRO.
Zdjęcie w pełnym rozmiarze dostępne jest po kliknięciu na wybrane zdjęcie poniżej.
 
 
Jasne pole
 

 
 

 
 

 
 

 
 

 
 

 
 

 
 

 
 

 
 

 
 

 
 

 
 
 
Polaryzacja
 
(z użyciem zestawu do prostej polaryzacji do DO Genetic Pro, dostępny osobno; kryształy kwasu cytrynowego)
 

 
 

 
 

 
 

 
 
Ciekłe kryształy
 
Poniższe zdjęcia wykonano przy użyciu aparatu Nikon CoolPix L22 w projekcji afokalnej.
 

 
 

 
 

 
 

 
 

 
 
 
Kontrast fazowy
 
(z użyciem opcjonalnego, dostępnego osobno zestawu do kontrastu fazowego)
 
Łuska okrywkowa cebuli
 
 

 
 

 
 

 
 

 
 

 
 

 
 
Komórki nabłonkowe ludzkie (z policzka)
 
 

 
 

 
 

 
 

 
 

 
 
Krew (ludzka, żywa)
 
 

 
 

 
 

 
 

 
 


 
Ciemne pole
 
Poniższe zdjęcia wykonano przy użyciu aparatu Nikon CoolPix L22 w projekcji afokalnej (aparat mocowany półeczką uniwersalną). Mikroskop DO Genetic Pro + kondensor suchy ciemnego pola. Wirczyki, pantofelki i preparaty trwałe.
 

 
 

 
 

 
 

 
 

 
 

 
 

 
 

 
 

 
 

 
 

 
 

 
 

 
 

 
 

 
 

 
 

 
 

 
 

 
 

 
 

 
 

 
 

Dodatkowe uwagi - środek dydaktyczny

Środek dydaktyczny zalecany do użytku szkolnego przez ministra właściwego do spraw oświaty i wychowania i wpisany do wykazu środków dydaktycznych przeznaczonych do kształcenia ogólnego, do nauczania biologii na poziomie gimnazjum, liceum ogólnokształcącego - kształcenie w zakresie podstawowym i rozszerzonym , liceum profilowanego oraz technikum, na podstawie recenzji rzeczoznawców:
- prof. dr hab. Danuty Cichy, zarekomendowanej przez Instytut Badań Edukacyjnych,
- dr. Wiktora Dżygóry, zarekomendowanego przez Akademię Wychowania Fizycznego w Katowicach.
 
Numer zalecenia: 2432/2009


Recenzje
 
    Klienci, którzy kupili ten produkt byli zainteresowani także tymi produktami:    

[MIKTRIGENETIC+A_DEO]
🔭
Asystent
Online
🔭

Witaj!

Pomogę Ci wybrać idealny sprzęt optyczny.

Powered by AI